BRINDAMOS SOLUCIONES PRÁCTICAS PARA CASOS COMPLICADOS
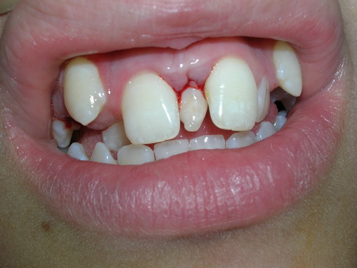
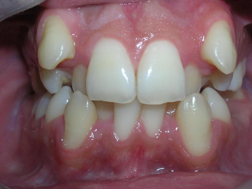
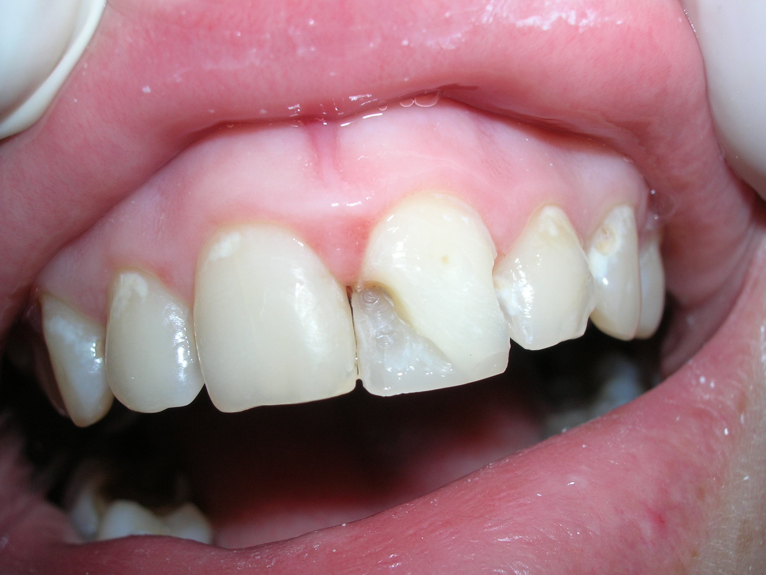
El siguiente es uno de nuestros casos más emblemáticos, del que nos sentimos muy orgullosos, no solo por el desafío, sino también porque Catalina Díaz quedá muy contenta y satisfecha con el resultado.
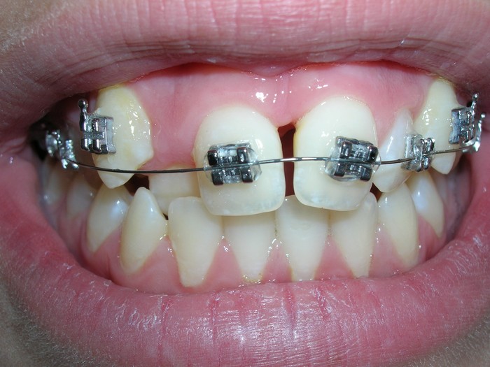
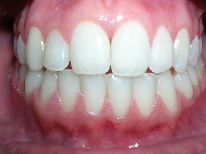
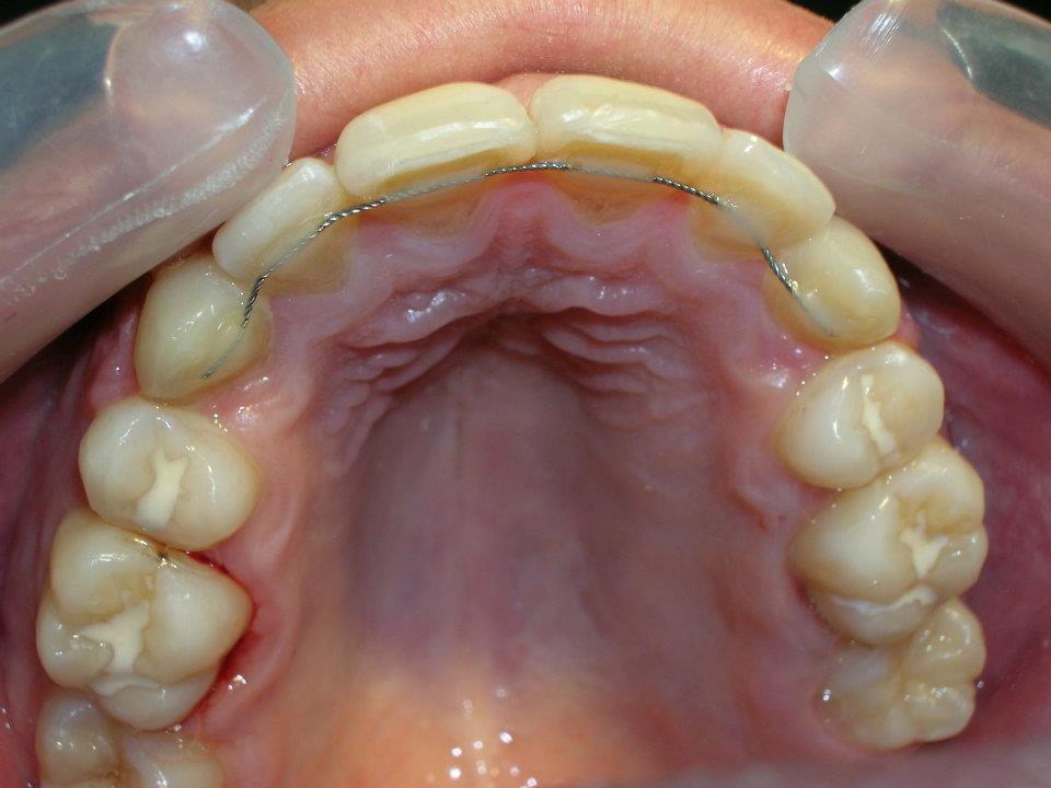
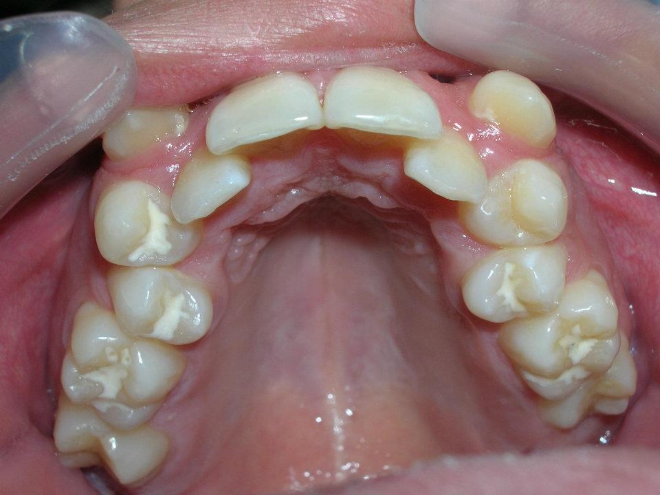
En el caso de Jaime Naranjo, decidimos una solución práctica, logrando reducir a la mitad el tiempo del tratamiento.
Cosmética dental en solo 45 minutos.